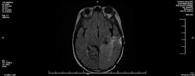
Dr. Manley considers today's MRI to be stable with some enhancements to the tumor area. For those unfamiliar with oncology's definition of enhancement, it is not the positive "increase or improvement in quality or value"...it is an increase in the size of the tumor area. The enhancements may be tumor growth or post-treatment changes (possibly from radiation). I suggested that it could also be from swelling caused by the Vitamin C.
When we compared June's MRI to today's, I could see the increase in size that he pointed out. Dr. Manley said that they will watch these areas closely. I asked if that means we will return to a 6-8 week MRI schedule. He thought we could continue to wait 10-12 weeks, but he said if I felt we needed one sooner that they could arrange that.
As I looked at the two pictures, I saw some areas that seemed to have more definition in the folds of her brain (where the tumor was previously filling in empty space). I asked Dr. Manley about it and he agreed that it did look better.
Dr. Manley thinks that KK looks great clinically and is okay with us continuing our current treatment.
Dr. Manley said, "I treat people, not pictures." It reminded me of what Nurse Megan told us before March's MRI, "An MRI is just a picture." For those that want to see comparison pictures anyway, here they are...
June 8:
August 24:
June 8:
Click here for the rest of the MRI images from August 24.
















